
L’epifisiolisi (SCFE dall’inglese Slipped Capital Femoral Epiphysis) è una situazione in cui la persona ha dolore all'anca e si può verificare in adolescenti e preadolescenti che sono ancora in crescita.
Per motivi ancora sconosciuti, l’epifisi del femore, la testa del femore, scivola verso il basso e perde la normale continuità con il collo del femore. Ciò causa dolore, rigidità e instabilità nell'anca interessata. La condizione di solito si sviluppa gradualmente nel tempo.
L’epifisiolisi si verifica più di frequente durante la crescita e di più nei ragazzi che nelle ragazze.
Di solito l’epifisiolisi si verifica solo su un lato del corpo, tuttavia, fino al 40% dei pazienti, in particolare quelli di età inferiore ai 10 anni, può sviluppare la condizione anche sul lato opposto, in un periodo di tempo che di solito non è maggiore di 18 mesi.
L'anca è un'articolazione formata da una parte tonda e scavata e da una palla, l’una chiamata acetabolo, parte dell'osso pelvico, e l’altra – la palla - la testa del femore. Durante la crescita, il femore si sviluppa in ogni direzione intorno a un'area di cartilagine chiamata placca di crescita (fisi).
Le placche di crescita si trovano tra la parte allargata dell'osso (metafisi) e la fine dell'osso (epifisi). L'epifisi all'estremità del femore che si trova nell’articolazione dell’anca è il centro di crescita che diventerà la testa del femore.
L’epifisiolisi è il disturbo dell'anca più comune negli adolescenti. In tale condizione la testa del femore, scivola giù e indietro rispetto al collo del femore, a livello della placca di crescita, l'area più debole dell'osso che non si è ancora sviluppata.
L’epifisiolisi di solito si sviluppa durante periodi di rapida crescita, poco dopo l'inizio della pubertà. Nei ragazzi, si manifesta di solito tra i 12 e i 16 anni. Nelle ragazze, in età compresa tra 10 e 14 anni.
A volte l’epifisiolisi si verifica improvvisamente, dopo una caduta o un trauma, più spesso, si sviluppa gradualmente durante settimane o mesi, senza essere preceduta da alcun sintomo.
L’epifisiolisi viene spesso classificata in base alla capacità del paziente di fare forza sull'anca in cui si ha dolore. Conoscere il tipo di epifisiolisi aiuterà il medico a scegliere il trattamento più adatto.
I tipi di epifisiolisi comprendono:
- Epifisiolisi stabile, il paziente riesce a camminare o poggiare il peso sull'anca interessata, con o senza stampelle. La maggior parte dei casi di epifisiolisi sono di tipo stabile;
- Epifisiolisi instabile, questa forma è più grave. Il paziente non può camminare o mettere peso sull’anca, anche con le stampelle. La forma instabile richiede un trattamento urgente. Avere complicanze nell'epifisiolisi instabile è molto più frequente.
La causa dell’epifisiolisi non è nota.
I fattori di rischio che rendono più probabile la condizione comprendono:
- Peso eccessivo o obesità: la maggior parte dei pazienti è al di sopra del 95° percentile per il peso corporeo;
- Storia familiare di epifisiolisi;
- Avere una malattia endocrina o metabolica, come l'ipertiroidismo, è un fattore di rischio soprattutto per i pazienti che sono di età superiore o inferiore alla fascia di età tipica dell’epifisiolisi che va dai 10 ai 16 anni di età.
I sintomi di epifisiolisi variano a seconda della gravità della situazione.
Il paziente con epifisiolisi lieve o stabile di solito ha un dolore intermittente all'inguine, all'anca, al ginocchio o alla coscia, per diverse settimane o mesi.
Questo dolore di solito peggiora con il movimento. Il paziente può camminare o correre zoppicando dopo un periodo di attività.
Nell’epifisiolisi più grave o instabile, i sintomi possono comprendere:
- Inizio improvviso del dolore, spesso dopo una caduta o un infortunio;
- Incapacità a camminare o portare il peso sulla gamba coinvolta;
- Extrarotazione, rotazione verso l’esterno del corpo, della gamba coinvolta;
- Differenza di lunghezza tra le gambe: la gamba con epifisiolisi può apparire più corta della gamba opposta.
Durante la visita, il medico chiederà informazioni sulla salute generale e sulla storia medica del bambino. Importante è accertare il momento dell’inizio dei sintomi.
Il medico controllerà la capacità di movimento nell'anca coinvolta.
Mentre il bambino è sdraiato, eseguirà un attento esame dell'anca e della gamba con epifisiolisi, ricercando il dolore con movimenti estremi e la limitazione dei movimenti dell'anca.
Il medico osserverà anche il modo in cui il bambino cammina. Un bambino con epifisiolisi può zoppicare o avere una camminata non normale.
La diagnosi si basa sul rilievo dei sintomi del paziente e verificati dallo specialista Ortopedico nel corso della visita.
La verifica radiografica attraverso i raggi X ha particolare importanza poiché dà un’immagine dettagliata delle ossa.
Il medico chiederà radiografie del bacino, dell'anca e della coscia, da diverse angolazioni, per confermare la diagnosi (Figure A e B).
Fig A In un paziente con epifisiolisi, la radiografia mostra la testa del femore che sembra scivolare via dal collo del femore (freccia), la parte subito attaccata alla testa del femore.

Fig. B. In questa TC la epifisiolisi appare totalmente dislocata rispetto al collo del femore
Il trattamento della epifisiolisi prevede un intervento chirurgico per impedire alla testa del femore di scivolare ancora di più verso il basso. Per ottenere il miglior risultato, è importante che tale situazione sia diagnosticata il più rapidamente possibile.
Senza una diagnosi precoce e un trattamento appropriato, l’epifisiolisi può avere complicazioni gravi, compresa l'artrite dolorosa dell'articolazione dell'anca.
La diagnosi precoce di epifisiolisi offre le migliori possibilità di stabilizzare l'anca ed evitare complicazioni. Se i pazienti sono trattati precocemente e in modo appropriato, ci si può aspettare che la funzione dell'anca, rimanga a lungo molto buona.
Una volta che l’epifisiolisi è stata confermata, si comunica al paziente di non mettere peso sull’anca e verrà ricoverato.
L’intervento chirurgico dipenderà dalla gravità dello scivolamento. Le tecniche utilizzate per il trattamento di epifisiolisi comprendono:
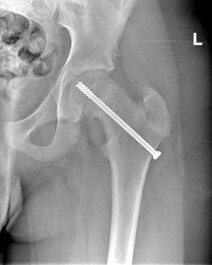
- Fissazione in situ. Questa è la tecnica utilizzata più spesso per i pazienti con epifisiolisi stabile o lieve. Il chirurgo effettua una piccola incisione vicino all'anca, inserisce una vite metallica attraverso la piastra di crescita (fisi) per mantenere la posizione della testa del femore e prevenire altri slittamenti (fig. C). Nel tempo, la piastra di crescita si chiuderà. Una volta che la piastra di crescita è chiusa, non si possono verificare scivolamenti;
- Riduzione aperta. Nei pazienti con epifisiolisi instabile o con epifisi con scivolamenti importanti il chirurgo deve fare un'incisione aperta nell'anca, poi delicatamente muovere la testa del femore per portarla nella sua normale posizione. Tale tecnica ormai in uso da circa 10 anni nei centri di riferimento per la cura di tale malattia appare necessaria ed indispensabile per evitare che la testa del femore sviluppi nel tempo una grave artrosi.
Il chirurgo inserirà una o due viti metalliche per tenere l'osso in posizione fino alla chiusura della piastra di crescita (fig.D).
Questa è una tecnica più complessa che richiede tempi di riposo dopo l’intervento più lunghi.
Fig C Fissazione della testa del femore con l’utilizzo di una vite.
Fig D Fissazione della testa del femore con l'utilizzo di più viti e fili dopo riduzione aperta.
Sebbene la diagnosi precoce e il corretto trattamento della epifisiolisi contribuiscano a diminuire la possibilità di complicanze a lungo tempo, alcuni pazienti continueranno ad avere problemi.
Le complicanze più frequenti dopo l’epifisiolisi sono la necrosi avascolare e la condrolisi:
- Necrosi avascolare. In casi gravi, il circolo di sangue nella testa del femore diminuisce. Ciò può portare a un deterioramento graduale e molto doloroso dell'osso, una situazione chiamata necrosi avascolare (AVN) o osteonecrosi. Quando l'osso si rovina, lo fa anche la cartilagine articolare che copre l'osso. Senza questa cartilagine liscia, l'osso sfrega contro l'osso acetabolare, causando un’artrite dolorosa. Per alcuni pazienti con necrosi avascolare, può essere necessario un altro intervento chirurgico per ricostruire l'anca. La necrosi avascolare si verifica più frequentemente nei pazienti con epifisiolisi instabile. I raggi X possono non mostrare i segni di una necrosi avascolare fino a 12 mesi dopo l'intervento. Sono quindi necessari controlli ripetuti e accurati;
- Condrolisi. La condrolisi è una complicanza rara ma grave della epifisiolisi. Nella condrolisi, scompare molto rapidamente la cartilagine articolare sulla superficie dell'articolazione dell'anca, causando dolore, malformazione e perdita permanente del movimento dell'anca coinvolta. Sebbene la causa di questa complicanza non sia stata ancora scoperta, si ritiene che possa provenire da un’infiammazione dell'articolazione dell'anca.

Fig. E. necrosi avascolare dell'anca sx dopo riduzione aperta della epifisiolisi.
Dopo l'intervento, il paziente dovrà utilizzare delle stampelle per diverse settimane. Il medico fornirà istruzioni specifiche su quando può iniziare ad appoggiare la gamba.
Per prevenire altre lesioni, è importante seguire attentamente queste indicazioni.
Con la fisioterapia si fanno esercizi specifici per aiutare a rafforzare i muscoli dell'anca e delle gambe e migliorare i movimenti.
Per un periodo di tempo dopo l'intervento chirurgico, il bambino non potrà fare sport o attività fisica che richiedono sforzi. Ciò contribuirà a diminuire la possibilità di complicazioni e permettere la guarigione. In base a come procede la guarigione, si deciderà quando il bambino può riprendere tranquillamente le sue normali attività.
Il bambino tornerà dal medico per le visite di controllo per 18-24 mesi dopo l'intervento. Queste visite possono includere radiografie ogni 3 o 4 mesi per verificare che la piastra di crescita sia chiusa e che non si siano sviluppate complicanze.
A seconda dell'età del paziente e di altri fattori, a lungo termine può essere necessario un supporto di diversi specialisti inclusi il pediatra, l’endocrinologo e il dietologo.
Iscriviti alla newsletter per ricevere i consigli degli specialisti del Bambino Gesù.